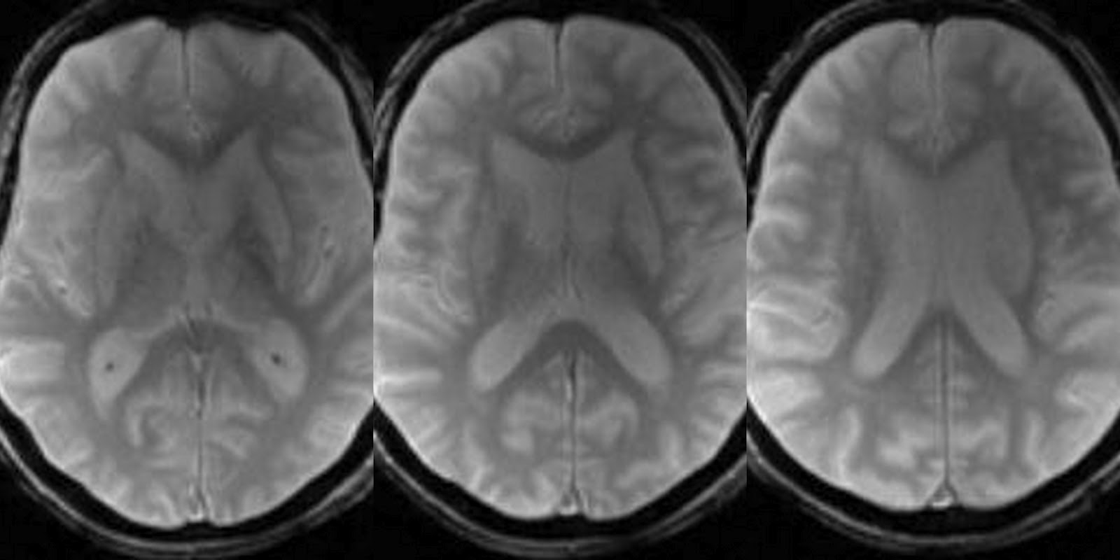
Basal Ganglia Hyperintensity . Web the basal ganglia are highly metabolically active and are symmetrically affected in. Web mri reveals t2w and flair hyperintensity involves the basal ganglia, and hyperintense lesions of the hemispheric cerebral white. Web the causes of basal ganglia t2 hyperintensity can be remembered using the mnemonic lint: Web t2 hyperintensity of the basal ganglia and thalami is generally present. Web basal ganglia and thalamus signal abnormalities occur in a wide variety of conditions.
from www.ajronline.org
Web basal ganglia and thalamus signal abnormalities occur in a wide variety of conditions. Web t2 hyperintensity of the basal ganglia and thalami is generally present. Web the causes of basal ganglia t2 hyperintensity can be remembered using the mnemonic lint: Web the basal ganglia are highly metabolically active and are symmetrically affected in. Web mri reveals t2w and flair hyperintensity involves the basal ganglia, and hyperintense lesions of the hemispheric cerebral white.
Radiological Reasoning Hyperintensity of the Basal Ganglia and Cortex
Basal Ganglia Hyperintensity Web basal ganglia and thalamus signal abnormalities occur in a wide variety of conditions. Web mri reveals t2w and flair hyperintensity involves the basal ganglia, and hyperintense lesions of the hemispheric cerebral white. Web t2 hyperintensity of the basal ganglia and thalami is generally present. Web the basal ganglia are highly metabolically active and are symmetrically affected in. Web the causes of basal ganglia t2 hyperintensity can be remembered using the mnemonic lint: Web basal ganglia and thalamus signal abnormalities occur in a wide variety of conditions.
From www.researchgate.net
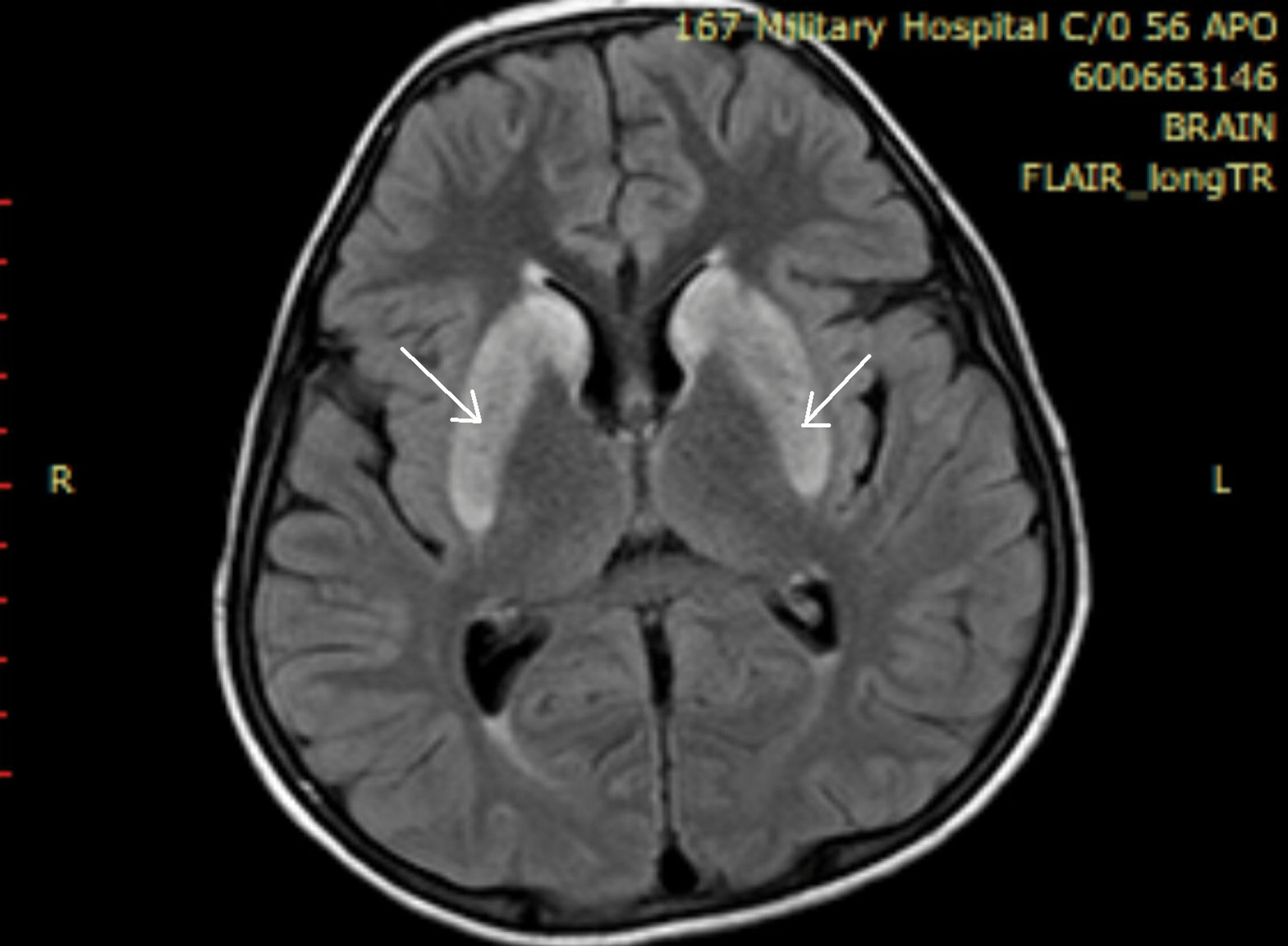
Hyperintensity of basal ganglia and asymmetric Sylvian fissures with Basal Ganglia Hyperintensity Web the causes of basal ganglia t2 hyperintensity can be remembered using the mnemonic lint: Web the basal ganglia are highly metabolically active and are symmetrically affected in. Web basal ganglia and thalamus signal abnormalities occur in a wide variety of conditions. Web mri reveals t2w and flair hyperintensity involves the basal ganglia, and hyperintense lesions of the hemispheric cerebral. Basal Ganglia Hyperintensity.
From vdocuments.mx
Basal ganglia hyperintensity may be a marker of hepatic encephalopathy Basal Ganglia Hyperintensity Web basal ganglia and thalamus signal abnormalities occur in a wide variety of conditions. Web t2 hyperintensity of the basal ganglia and thalami is generally present. Web the basal ganglia are highly metabolically active and are symmetrically affected in. Web mri reveals t2w and flair hyperintensity involves the basal ganglia, and hyperintense lesions of the hemispheric cerebral white. Web the. Basal Ganglia Hyperintensity.
From www.researchgate.net
Symmetrical T1hyperintensity can be seen involving the basal ganglia Basal Ganglia Hyperintensity Web the basal ganglia are highly metabolically active and are symmetrically affected in. Web basal ganglia and thalamus signal abnormalities occur in a wide variety of conditions. Web t2 hyperintensity of the basal ganglia and thalami is generally present. Web the causes of basal ganglia t2 hyperintensity can be remembered using the mnemonic lint: Web mri reveals t2w and flair. Basal Ganglia Hyperintensity.
From charlenerwest.blogspot.com
19+ Mri Anatomy Basal Ganglia Basal Ganglia Hyperintensity Web t2 hyperintensity of the basal ganglia and thalami is generally present. Web the causes of basal ganglia t2 hyperintensity can be remembered using the mnemonic lint: Web basal ganglia and thalamus signal abnormalities occur in a wide variety of conditions. Web mri reveals t2w and flair hyperintensity involves the basal ganglia, and hyperintense lesions of the hemispheric cerebral white.. Basal Ganglia Hyperintensity.
From www.researchgate.net
MRI showing bilateral basal ganglia lesions with hypointensity on Basal Ganglia Hyperintensity Web the basal ganglia are highly metabolically active and are symmetrically affected in. Web mri reveals t2w and flair hyperintensity involves the basal ganglia, and hyperintense lesions of the hemispheric cerebral white. Web the causes of basal ganglia t2 hyperintensity can be remembered using the mnemonic lint: Web t2 hyperintensity of the basal ganglia and thalami is generally present. Web. Basal Ganglia Hyperintensity.
From www.ajnr.org
Basal Ganglia T1 Hyperintensity in Hereditary Hemorrhagic Basal Ganglia Hyperintensity Web mri reveals t2w and flair hyperintensity involves the basal ganglia, and hyperintense lesions of the hemispheric cerebral white. Web the basal ganglia are highly metabolically active and are symmetrically affected in. Web basal ganglia and thalamus signal abnormalities occur in a wide variety of conditions. Web the causes of basal ganglia t2 hyperintensity can be remembered using the mnemonic. Basal Ganglia Hyperintensity.
From www.cureus.com
Cureus A Case of Megaspleen With Micrographism Basal Ganglia Hyperintensity Web t2 hyperintensity of the basal ganglia and thalami is generally present. Web the basal ganglia are highly metabolically active and are symmetrically affected in. Web basal ganglia and thalamus signal abnormalities occur in a wide variety of conditions. Web the causes of basal ganglia t2 hyperintensity can be remembered using the mnemonic lint: Web mri reveals t2w and flair. Basal Ganglia Hyperintensity.
From www.researchgate.net
Bilateral hyperintensities of the basal ganglia in case 1 (A), 4 (B Basal Ganglia Hyperintensity Web the causes of basal ganglia t2 hyperintensity can be remembered using the mnemonic lint: Web t2 hyperintensity of the basal ganglia and thalami is generally present. Web the basal ganglia are highly metabolically active and are symmetrically affected in. Web mri reveals t2w and flair hyperintensity involves the basal ganglia, and hyperintense lesions of the hemispheric cerebral white. Web. Basal Ganglia Hyperintensity.
From www.neuroradiologycases.com
Dr Balaji Anvekar FRCR UL Basal ganglia T1 hyperintensity Basal Ganglia Hyperintensity Web basal ganglia and thalamus signal abnormalities occur in a wide variety of conditions. Web the basal ganglia are highly metabolically active and are symmetrically affected in. Web mri reveals t2w and flair hyperintensity involves the basal ganglia, and hyperintense lesions of the hemispheric cerebral white. Web the causes of basal ganglia t2 hyperintensity can be remembered using the mnemonic. Basal Ganglia Hyperintensity.
From docslib.org
Hyperintensity of the Basal Ganglia and Cortex on FLAIR and Diffusion Basal Ganglia Hyperintensity Web mri reveals t2w and flair hyperintensity involves the basal ganglia, and hyperintense lesions of the hemispheric cerebral white. Web the causes of basal ganglia t2 hyperintensity can be remembered using the mnemonic lint: Web the basal ganglia are highly metabolically active and are symmetrically affected in. Web t2 hyperintensity of the basal ganglia and thalami is generally present. Web. Basal Ganglia Hyperintensity.
From www.mdpi.com
Brain Sciences Free FullText Neuroimaging of Basal Ganglia in Basal Ganglia Hyperintensity Web the basal ganglia are highly metabolically active and are symmetrically affected in. Web basal ganglia and thalamus signal abnormalities occur in a wide variety of conditions. Web the causes of basal ganglia t2 hyperintensity can be remembered using the mnemonic lint: Web t2 hyperintensity of the basal ganglia and thalami is generally present. Web mri reveals t2w and flair. Basal Ganglia Hyperintensity.
From www.researchgate.net
MRI brain in variant CJD axial FLAIR section at the level of the Basal Ganglia Hyperintensity Web t2 hyperintensity of the basal ganglia and thalami is generally present. Web basal ganglia and thalamus signal abnormalities occur in a wide variety of conditions. Web the basal ganglia are highly metabolically active and are symmetrically affected in. Web mri reveals t2w and flair hyperintensity involves the basal ganglia, and hyperintense lesions of the hemispheric cerebral white. Web the. Basal Ganglia Hyperintensity.
From mungfali.com
Basal Ganglia MRI Basal Ganglia Hyperintensity Web the causes of basal ganglia t2 hyperintensity can be remembered using the mnemonic lint: Web t2 hyperintensity of the basal ganglia and thalami is generally present. Web basal ganglia and thalamus signal abnormalities occur in a wide variety of conditions. Web mri reveals t2w and flair hyperintensity involves the basal ganglia, and hyperintense lesions of the hemispheric cerebral white.. Basal Ganglia Hyperintensity.
From www.researchgate.net
MRI features. DWI (b1000) and ADC map brainstem (A); basal ganglia Basal Ganglia Hyperintensity Web the causes of basal ganglia t2 hyperintensity can be remembered using the mnemonic lint: Web basal ganglia and thalamus signal abnormalities occur in a wide variety of conditions. Web mri reveals t2w and flair hyperintensity involves the basal ganglia, and hyperintense lesions of the hemispheric cerebral white. Web t2 hyperintensity of the basal ganglia and thalami is generally present.. Basal Ganglia Hyperintensity.
From ultimate-radiology.blogspot.com
Ultimate Radiology Bilateral basal ganglia T1 hyperintensity Basal Ganglia Hyperintensity Web mri reveals t2w and flair hyperintensity involves the basal ganglia, and hyperintense lesions of the hemispheric cerebral white. Web basal ganglia and thalamus signal abnormalities occur in a wide variety of conditions. Web t2 hyperintensity of the basal ganglia and thalami is generally present. Web the causes of basal ganglia t2 hyperintensity can be remembered using the mnemonic lint:. Basal Ganglia Hyperintensity.
From www.semanticscholar.org
[PDF] Basal ganglia hyperdensity on computerised tomography of brain a Basal Ganglia Hyperintensity Web mri reveals t2w and flair hyperintensity involves the basal ganglia, and hyperintense lesions of the hemispheric cerebral white. Web the basal ganglia are highly metabolically active and are symmetrically affected in. Web basal ganglia and thalamus signal abnormalities occur in a wide variety of conditions. Web t2 hyperintensity of the basal ganglia and thalami is generally present. Web the. Basal Ganglia Hyperintensity.
From mavink.com
Basal Ganglia Calcification Mri Basal Ganglia Hyperintensity Web t2 hyperintensity of the basal ganglia and thalami is generally present. Web mri reveals t2w and flair hyperintensity involves the basal ganglia, and hyperintense lesions of the hemispheric cerebral white. Web basal ganglia and thalamus signal abnormalities occur in a wide variety of conditions. Web the basal ganglia are highly metabolically active and are symmetrically affected in. Web the. Basal Ganglia Hyperintensity.
From www.researchgate.net
Basal gangliathalamus pattern of HII in a 4dayold infant with Basal Ganglia Hyperintensity Web mri reveals t2w and flair hyperintensity involves the basal ganglia, and hyperintense lesions of the hemispheric cerebral white. Web the causes of basal ganglia t2 hyperintensity can be remembered using the mnemonic lint: Web t2 hyperintensity of the basal ganglia and thalami is generally present. Web basal ganglia and thalamus signal abnormalities occur in a wide variety of conditions.. Basal Ganglia Hyperintensity.